  Vestre Braarudgate 3, 3181 Horten

  Orgnr 817 397 492

Hvem er vi?

Omsorgsfull behandling til forutsigbare priser.

Vi er et team på tre tannleger - Nina Landquist, Gunnvor Forberg og Miriam Whittall Slette, og to sekretærer - Tine og Bente. Nina startet klinikken og har vært tannlege i Horten siden 2001.

Vi tilbyr moderne og skånsom tannbehandling tilpasset dine behov, med fokus på høy kvalitet og trygghet i hyggelige omgivelser.

Møt vår nyeste tannlege, Miriam Whittall Slette!

Møt tannlege Miriam Slette, som har vært en del av vårt team det siste året. Miriam er opprinnelig fra Horten og har tidligere jobbet to år i privat praksis i Odda. Med sin faglige dyktighet, sprudlende energi og genuin omsorg for pasientene, har hun allerede blitt en trygg havn for mange.

Miriam er spesielt flink til å behandle pasienter med tannlegeskrekk og bruker god tid på undersøkelser. Vi er glade for at Miriam blir værende hos oss, og ser frem til mange år med sunne, friske smil for våre pasienter.

Er du på utkikk etter en tannlege som setter deg og din komfort i fokus? Miriam har nå kapasitet til nye pasienter og gleder seg til å bli kjent med deg!

📞 Ring oss på 33043844 eller epost via linken for å bestille time.

"Miriam er den mest behagelige og hyggelige tannlegen jeg har vært pasient hos.
For første gang i mitt liv har jeg sovnet mens hun jobbet
med å tilpasse en ny bro i overkjeven. Merket ikke at hun satte bedøvelse"

Erland Lundstad

"Miriam er en flink og behagelig tannlege- anbefales. Har vært vant til Gunvor i sikkert 35 år. I hennes fravær var jeg litt skeptisk til ny tannlege. Det var ubegrunnet. Nydelige tannlege🌸"

Bjørg Elisabeth Eriksen

Våre behandlinger

Årlig kontroll

Ved en årlig undersøkelse tas vanligvis 2 røntgenbilder. Tannstein blir fjernet og tennene pusses for misfarging. Årlig sjekk er viktig for å forebygge tannkjøttsykdom og begynnende hull. Forebyggende tiltak er en viktig del av den årlige kontrollen. Fjerning av tannstein regelmessig gir friskere pust og tannkjøtt.

Hull og fylling

Visste du at hull som regel ikke gjør vondt? Derfor er det viktig å gå årlig til tannsjekk. Dersom hullet i tanna er blitt for stort må vi legge en fylling. Vi bruker de tannfargede fyllingsmaterialene kompositt og glassionomer. Hvis hullet er dypt, men ikke helt inn på nerven, er det vanlig at en ny fylling vil være følsom de første ukene etter behandling. Hvis hullet er nesten inn til nerven kan vi bruke en medisinsk fylling en tid før vi lager den sterkere fyllingen over. På denne måten kan man i flere tilfeller unngå rotfylling.

Periodontitt

Periodontitt, også kalt tannløsningssykdom, er en betennelse i tannens støttevev. Tilstanden utvikler seg som regel fra ubehandlet tannkjøttbetennelse (gingivitt) og kan over tid føre til at tannfestet svekkes. Uten behandling kan tennene til slutt løsne.

Typiske tegn på periodontitt er blødning fra tannkjøttet ved pussing, dårlig ånde, ømt eller hovent tannkjøtt og at tennene føles litt løse eller har flyttet på seg.

Behandlingen har som mål å stanse sykdommen og bevare tennene. Første steg er en grundig rens under tannkjøttskanten for å fjerne bakteriebelegg og tannstein. Dette gjøres ofte under lokalbedøvelse. Ved dypere lommer eller mer avanserte tilfeller kan det være behov for et lite kirurgisk inngrep for å komme til betennelsen og rense området helt rent.

Etter behandling er regelmessig oppfølging og god munnhygiene avgjørende for et stabilt resultat.

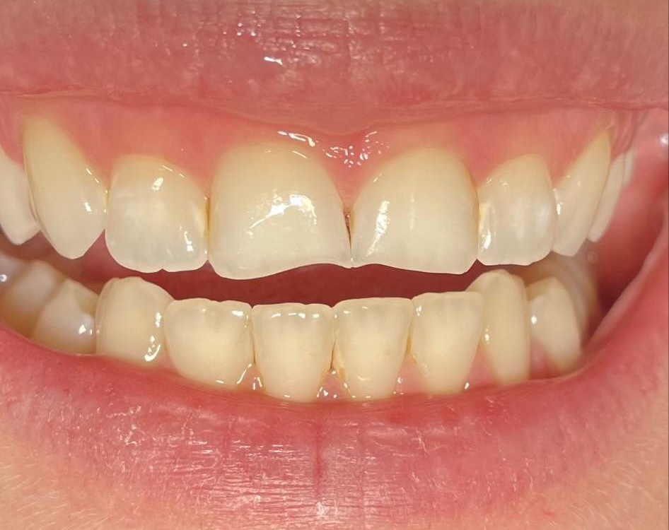
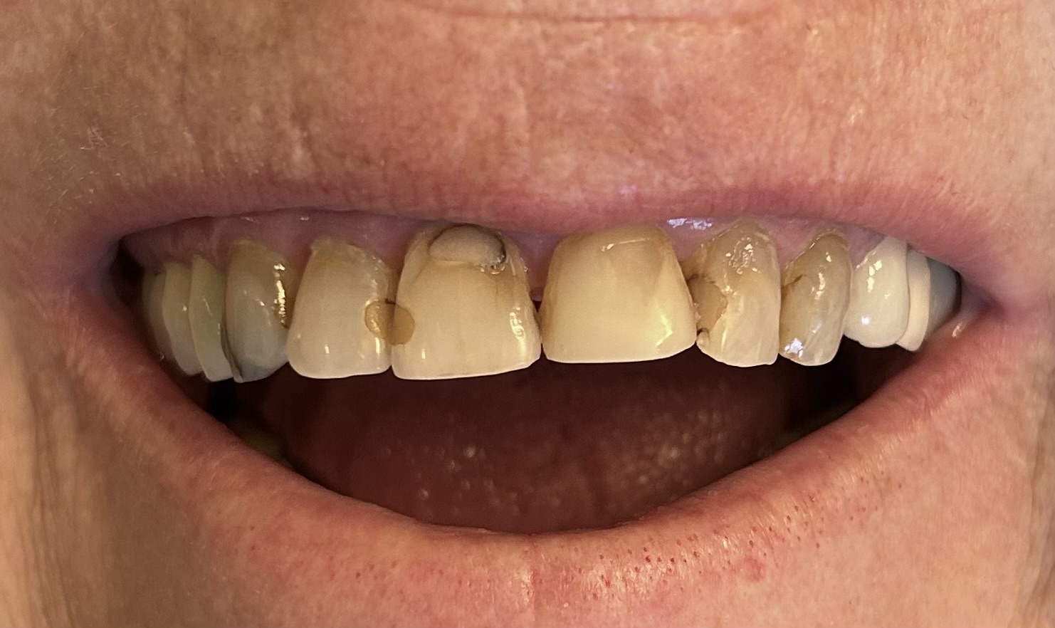
Kosmetisk tannbehandling

Et vakkert og naturlig smil kan oppnås på flere måter. Vi ønsker å bevare ditt personlige uttrykk, men samtidig gjenskape det friske smilet du hadde i yngre dager.

Se før- og etterbilder

Les mer ...

Kosmetisk tannbehandling

Et vakkert og naturlig smil kan oppnås på flere måter. Vi ønsker å bevare ditt personlige uttrykk, men samtidig gjenskape det friske smilet du hadde i yngre dager.

Tannbleking og bonding-teknikk

Tannbleking gir ofte et fint resultat – særlig hos yngre med tykk og frisk emalje. For voksne med slitte eller misfargede tenner oppnås ofte et bedre resultat med komposittlaminater – også kalt bonding-teknikk, edge bonding eller composite veneers.

Her bygger vi opp tannen med Admira Fusion, et biokompatibelt og skånsomt materiale uten klassiske akrylater. Materialet har mange av de samme optiske egenskapene som porselen, holder seg blankt med en naturlig, emaljelignende struktur, og tar opp svært lite fuktighet – slik at misfarging over tid reduseres.

Skånsomt, naturlig og personlig

Har du tenner som står litt skjevt, kan vi også jevne ut smilet ved å bygge laminatene i ulike tykkelser for å balansere tannrekken – uten sliping og uten tannregulering.

Dette er en skånsom og rimeligere løsning enn porselen, og gir et naturlig, holdbart resultat. Du slipper også å slipe bort tannsubstans. Behandlingen er smertefri og kan gjøres uten bedøvelse.

Send oss gjerne et bilde av smilet ditt på e-post – vi gir deg en uforpliktende vurdering og prisestimat.

 

Tannlege Nina Landquist har lang erfaring med denne typen estetisk behandling og legger stor vekt på et naturlig uttrykk som harmonerer med ansikt og personlighet. Vi lager alltid fargeprøver før vi setter i gang behandlingen. Dette gjøres før timen, slik at man kan få et inntrykk av hvordan fargen på tennene blir, og da er det lettere å ta et valg om både farge og tykkelse på laminat. Vi setter veldig pris på å se hvor fornøyde og glade pasientene blir med resultatet!

Trekking av visdomstenner

Ofte vokser visdomstennene i feil retning eller har ikke nok plass. Dette kan føre til betennelse i vevet rundt visdomstannen, noe som kan føre til smerter og hevelse. Det lønner seg å fjerne problematiske visdomstenner når man er ung, siden de er enklere å få ut da. Etter en visdomstanns-fjerning vil det være sårt og ubehagelig noen dager, derfor får man smertestillende. 

Rotfylling

Dype hull eller fyllinger kan føre til en betennelse i nerven. Dette kan starte med murring eller intens ising og gå over til tannverk. Tannlegen vil da vurdere om tannen bør rotfylles ved å se på røntgenbilder og symptomer. Ved rotfylling renser man ut tannens kanaler i to seanser. Til slutt legges det oftest på en tannfarget fylling for å dekke rotfyllingen.

Krone- og brobehandling

Hvis tannen er veldig ødelagt, kan det være vanskelig å få et godt feste til en vanlig plastfylling. Da er det mer holdbart å lage en krone fordi den dekker hele resten av tannen og beskytter det som er igjen av tannen og nerven. En kronesliping gjøres under bedøvelse, deretter tas et avtrykk før man setter på en midlertidig krone. Når kronen kommer tilbake fra tanntekniker, sementeres den på. Resultatet blir pent, naturlig og holdbart.

Kontakt oss

For timebestilling: 33 04 38 44 eller book her

  nina@landquist.no

  33 04 38 44

  Vestre Braarudgate 3, 3181 Horten

  Orgnr 817 397 492

hCaptcha

Møt våre ansatte:

Nina

Nina startet klinikken, og har jobbet som tannlege i Horten siden 2001. Før dette jobbet hun seks år som tannlege i privatpraksis (Oslo, Fredrikstad) og skoletannlege (Vesterålen).

Gunnvor

Gunnvor ble medeier i praksisen i oktober 2011, og har praktisert som tannlege i Horten siden 1994. Hun er opptatt av å gjøre behandlingen mest mulig smertefri og bruker Wand, en datastyrt bedøvelse som hun også har kurset andre tannleger i.

Miriam

Miriam er en dyktig og omtenksom tannlege fra Horten. Hun er kjent for sitt blide vesen og faglig dyktighet. Hun gjør sitt beste for at pasientene skal føle seg trygge og godt ivaretatt gjennom hele behandlingen. Er du redd for å gå til tannlegen? Miriam har god erfaring med å behandle pasienter med tannlegeskrekk, og legger stor vekt på å skape en rolig og tillitsfull atmosfære.

Erfaring og kompetanse

Tannlege Miriam Slette har spesiell interesse for periodontale sykdommer og tilbyr behandling av både milde og mer avanserte tilfeller av periodontitt. Hun utfører selv kirurgiske inngrep når det er nødvendig, og har god erfaring med disse prosedyrene.

Tine

Vår dyktige tannhelsesekretær som har vært ansatt siden oppstart av klinikken. Hun har omsorg for pasientene, og kan svare på det meste man lurer på når det gjelder informasjon om behandlinger og priser over telefon.

Bente

Bente har jobbet hos oss siden desember 2012. Hun er blid, dyktig og omsorgsfull. Bente er også ernæringsterapaut.

Våre priser

Trykk på "Les mer" for å åpne vår prisliste. Denne ble sist oppdatert 11.02.2025.

Les mer ...

Våre priser

BEHANDLINGPRIS
Undersøkelse med rens, puss av tannstein og misfarginger og to røntgenbilder1420,-
Undersøkelse student med rens, puss av tannstein og misfarginger og to røntgenbilder1100,-
En flate tannfarget fylling1250,-
To flater tannfarget fylling1750,-
Tre flater tannfarget fylling2160,-
Porselenskrone8000,-
Fjerne visdomstann ved kirurgi egenandel2200
Rotfylling av en kanal5000,-
Rotfylling av to kanaler6500,-
Rotfylling av tre kanaler8200,-
Bedøvelse225,-
Røntgenbilde210,-
Kosmetisk behandling 
Komposittfasade, pris per tann ved behandling av minst 4 tenner2300,-
Komposittfasade, pris per tann ved behandling av minst 6 tenner2000,-
Komposittfasade, pris ved enkel komposittfasade (én tann)2600,-

Tannbleking Opalescence Go

universalskinner: pr kjeve (Mest vanlig
å bare bleke overkjeven)

1250,-

Tannbleking individuell skinne

Påfyll av blekegel 500,- for to sprøyter for de pasientene som har bleket her tidligere.

2800,- for en kjeve

5000,- for to kjever

Prøvefasetter

 

Prøvefasetter lages kun ved planlegging av behandling på fire tenner eller flere.Ved behov kan vi lage prøvefasetter på to tenner i to ulike nyanser for å finne riktig farge.Dette koster kr 1200, og beløpet trekkes fra totalprisen ved endt behandling.

 

Studenter får 10 prosent rabatt på resterende behandling
 

Kvalitet med garanti

Vi kan tilby garanti på behandling:

-4 års garanti på vanlige plastfyllinger.

-7 års garanti på vanlige porselenskroner

Forebyggende tiltak

Vi setter alltid opp god tid på undersøkelser, gir deg en profesjonell tannpuss og sørger for å hjelpe deg med forebyggende tiltak.

Sterke og flotte tenner har positiv betydning for ditt selvbilde!

Studentrabatt

Tannlegene tilbyr studenter rabatt på undersøkelse, og ytterligere rabatt på videre behandling.

Dette er en HTML-modul som trengs for å vise popup-vinduer når du klikker "Les mer". Vær så snill og slett den ikke. Det er ikke synlig på den offentlige siden.